近日,四川大学华西天府医院泌尿外科魏武然主任医师团队成功为一名86岁高龄患者实施“左侧经皮肾镜钬激光碎石取石术+左侧输尿管支架管置入术”。目前患者已顺利康复出院,术后一个月门诊复查结果良好。
高龄多病,勇闯手术难关
患者何爷爷(化名),86岁,入院前一个月无明显诱因出现肉眼血尿,伴有尿痛、尿频、腰痛等症状,且症状持续存在,严重影响生活。门诊初步检查提示其病情复杂,包括双肾结石、左输尿管结石、双肾萎缩、双肾盂及输尿管上段慢性炎症、前列腺增大伴钙化、慢性膀胱炎以及高血压等多种基础疾病。
高龄、多系统合并症及感染,使何爷爷的手术面临多重挑战:心肺功能储备不足、麻醉耐受性差、术后感染及败血症风险高、出血可能性大、心肾功能衰竭风险、恢复周期长等。面对如此复杂的病情,泌尿外科团队迎难而上,于8月26日将患者收治入院,进一步完善相关检查,为手术做好充分准备。

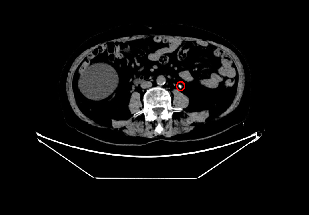
术前左侧输尿管结石

术前左肾结石
精准施治,微创取石见真章
在魏武然主任医师和麻醉手术中心李晓强副主任医师的带领下,泌尿外科和麻醉科医疗团队对何爷爷进行了全面的术前评估,并针对可能出现的各类风险制定了周密的手术方案及应急预案。9月9日,手术如期进行。术中发现患者左肾中下盏存在多发结石,最大约2cm×1.5cm,质地坚硬,同时左输尿管上段见数枚不规则小结石,整体结石负荷大、分布复杂,进一步增加了手术难度。
手术团队凭借丰富经验与精湛技术,精准建立经皮肾通道,顺利实施钬激光碎石取石及输尿管支架置入。术中患者出血少,生命体征平稳,手术圆满完成。

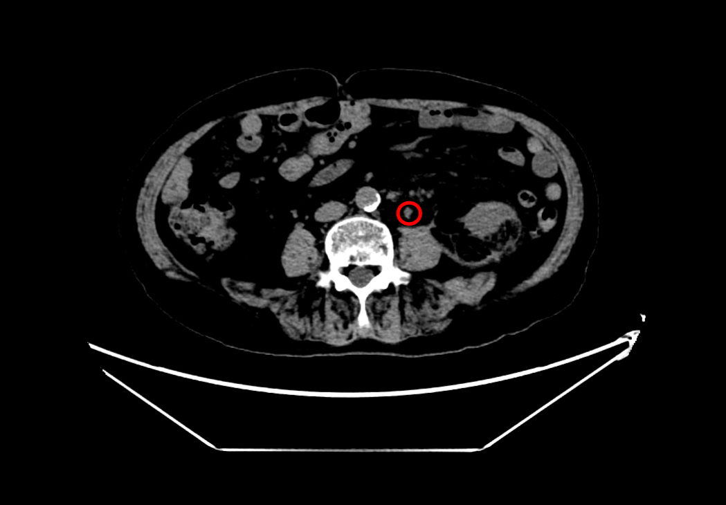
术后左侧输尿管

术后左肾
精细护理,助力高龄康复
术后护理是高龄患者康复的关键环节。泌尿外科刘玲护士长带领护理团队为何爷爷量身订制了个体化护理方案,涵盖疼痛管理、感染防控、营养支持及早期活动指导等多方面,全面保障术后恢复质量。在医护团队的共同努力下,何爷爷恢复良好,于9月16日顺利出院。
术后一个月返院复查时,何爷爷与家人专程送来锦旗,表达对魏武然主任及泌尿外科全体医护人员的诚挚感谢。这面锦旗,不仅承载着患者与家属的信任与认可,也是医患同心、温情互信的温暖见证。

本例手术的成功实施,为高龄、高风险且复杂泌尿系结石患者的治疗积累了宝贵经验,充分体现了华西天府医院在个体化精准治疗与围术期综合管理方面的专业水平,再次彰显了“厚德精业 求实创新”的华西精神。